Brain Strucutre

- Related
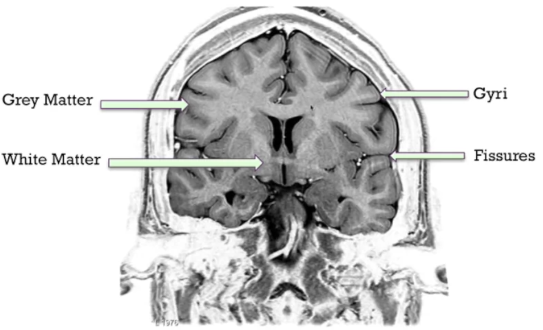
Brain Matter
- We have the largest Brain-Body Ratio!
- 2% of total body weight
- Consumes 25% of the oxygen
- Consumes 70% of the glucose
- Consumes 25% of the nutrients
- 100% of brain is used!

- White matter
- Gives structure
- Delivers nutrients
- Provides communication
- Grey matter
- Computations happen here
- The fissures exist to fit as much as grey matter into the skull (increase surface area)

- Neurons
- Synaptic - excitatory/inhibitory signal

- Feelings are processed distributed, e.g. pain
- Neural network is very tolerant to noise, as long as there are enough neurons sending activation signals.
Subcortical Regions
AKA “reptilian brain”, we share this structure with reptiles.

- Medulla - heart rate and blood pressure, basic house keeping
- Pons - regulates sleep cycle and alertness
- Midbrain - sex and aggression

- Cerebellum - regulates the smooth movement

- Corpus callosum - major connection between the two spheres
- Amygdala - our “spider sense”, constantly looks for danger, the brain structure that flips the “switch” for fight or flight response
- Hippocampus - episodic memory, also memorizes what just happen right before the danger
Occipital Lobe

- LGN = lateral geniculate nucleus, a hub that prioritizes the sensory signals
- Primary Visual Cortex
- Taking in the raw input of vision
- Scotoma is caused if damaged = seeing black spots
- Association Visual Cortex - recognizing the objects and interpretation
- Vision Agnosia - failed to interpret the vision information “The Man Who Mistook His Wife for a Hat”
Temporal Lobe

- laterality = left vs. right

- Left brain - “analytical”
- Broca area → related to speech. This area is connected to motor strip
- Wernicke area → related to comprehension of speech
- Right brain - “creative”
- Tonal structure, pitch pattern, pitch interval, and timbre
Parietal Lobe


- Motor cortex - movement
- Somatosensory cortex - somatic sensation
- ==Contralateral Wiring== - Left part of body processed in the right hemisphere, and vice versa
- “Cortical Homunculus” created by Dr. Wilder Penfield (picture above)

- The area on the brain ⇒ the importance of the body part, not the volume. e.g. no feeling on elbow
- Proprioception - the feeling of our body parts from inside - associated with left brain - “whose leg is this!”
- Unilateral Visual Neglect - when left brain damaged, failed to notice the right, and vice versa.
- Sensory Deprivation experiment - Our brain is hungry for sensory input, if you don’t feed it, it creates its own. (could this be related to meditation?)
Frontal Lobe
- Makes half of the brain, and is the latest part. The shape of skull changed to fit this part.
- The motor strip defines where the frontal lobe starts
- Frontal lobotomy = severing the frontal lobe from the motor strip to
suppress aggression (used to be used to treat schizophrenia, bipolar, and
epilepsy)
- Slow thoughts, loss of spontaneity
- Perseveration Errors = don’t shift the strategy when things change
- Loss of self-awareness, flat affect, lack of emotion, loss of empathy
- Deficiency of planning
- Tendency to confabulate = lying but not deceiving, producing stories (confabulation in hypnosis?)